Download

ORIGINAL ARTICLE

Effectiveness of topical intranasal curcumin in the experimentally induced allergic rhinitis model in rats

Erbay Demira*, Muhsin Kotenb, Fatma Elif Usturalı Keskinc, Canan Eryıldızd, Selis Gülseven Güvene

aDepartment of Otorhinolaryngology, Independent Investigator, Istanbul, Türkiye

bDepartment of Otorhinolaryngology, Kirklareli Training And Research Hospital, Kırklareli, Türkiye

cDepartment of Pathology, Trakya University Hospital, Edirne, Türkiye

dDepartment of Medical Microbiology, Trakya University Hospital, Edirne, Türkiye

eDepartment of Otorhinolaryngology, Trakya University Hospital, Edirne, Türkiye

Abstract

Curcumin, a flavonoid derived from turmeric, has demonstrated antioxidant, anti-inflammatory, and anti-allergic effects. This study evaluated the therapeutic efficacy of intranasal curcumin in an allergic rhinitis (AR) rat model. Forty rats were randomized into five groups: a Sham control, an AR model with no treatment (negative control), an AR model treated with intranasal mometasone furoate (positive control), and an AR model treated with intranasal curcumin. Allergic symptoms (sneezing, itching, nasal discharge) were evaluated by both unblinded and blinded observers. Serum ovalbumin (OVA)-specific IgE levels were measured using ELISA. Nasal mucosal histopathology (edema, cilia loss, goblet cell hyperplasia, inflammation, eosinophilia) was assessed by light microscopy. Intranasal curcumin significantly improved histopathological findings and reduced allergic symptoms, with efficacy comparable to steroid treatment. Intranasal curcumin alleviated allergic rhinitis symptoms and inflammation, suggesting a promising, low-cost alternative for AR management.

Key words: allergic rhinitis, anti-inflammatory effects, histopathological improvement, ige modulation, intranasal curcumin

*Corresponding author: Erbay Demir, MD, Atatürk mah., Yurt st., No:1/1. 34764, Umraniye/Istanbul, Türkiye. Email address: [email protected]

Received 9 July 2025; Accepted 15 September 2025; Available online 1 January 2026

DOI: 10.15586/aei.v54i1.1468

Copyright: Demir E, et al.
This open access article is licensed under Creative Commons Attribution 4.0 International (CC BY 4.0). http://creativecommons.org/licenses/by/4.0/

Introduction

Allergic rhinitis is an immunoglobulin E (IgE)-mediated chronic inflammatory disease of the nasal mucosa. This condition presents with nasal symptoms, including congestion, rhinorrhea, pruritus, and sneezing, triggered by allergen exposure.1,2 The prevalence of allergic rhinitis is estimated to be between 10% and 20% of the population.3 Its high prevalence translates to a significant economic burden, impacting healthcare systems and productivity.4

Experimental animal models of allergic rhinitis utilize various allergens, such as ovalbumin, Japanese cedar pollen, Staphylococcal enterotoxin B, Schistosoma mansoni egg antigen, toluene 2,4-diisocyanate, and house dust mite. After the successful establishment of an allergic rhinitis model, experimental animals exhibit the hallmark symptoms of rhinorrhea, pruritus, and sneezing.

Flavonoids constitute a class of plant-derived compounds exhibiting antioxidant, anti-inflammatory, and anti-allergic activities.5,6 Extensive use of Curcuma longa (turmeric) is evident in the ancient Indian medical system known as Ayurveda. The initial isolation of curcumin, the major bioactive flavonoid responsible for the plant’s yellow coloration, occurred two centuries ago. In 1910, the structure of the curcumin (diferuloylmethane) component was determined. Research findings consistently demonstrate curcumin’s anti-inflammatory and antioxidant effects, signifying its therapeutic promise in the treatment of numerous allergic, inflammatory, and chronic conditions.712 Curcumin demonstrates a dose-dependent, irreversible inhibitory effect on antigen-induced mast cell degranulation, consequently mitigating IgE-mediated allergic reactions.13

This study investigates the efficacy of intranasal curcumin in an experimental allergic rhinitis rat model to assess its effects on rhinitis symptoms, nasal mucosal histopathology, and serum allergen-specific IgE levels.

Materials and Methods

This study was conducted at the Experimental Animals Unit, and approval was obtained from the Local Ethics Committee of Animal Experiments in accordance with the Helsinki Declaration for animal experiments (approval number: 2018.03.04/date: 30.03.2018). A total of 40 female Sprague-Dawley rats (200–250 g), aged 10–12 weeks, were utilized. The rats were kept on a 12-hour light/dark cycle at 19–21°C with 50% humidity. Animals were allowed food and water ad libitum.

The Sham group received no intervention. The Negative Control (Allergic Rhinitis) group was designed as an allergic rhinitis model and received no treatment. The Positive Control (Steroid) group was designed as an allergic rhinitis model and received an intranasal steroid. The Study (Curcumin) group was designed as an allergic rhinitis model and received intranasal curcumin (Figure 1).

Figure 1 Working plan. OVA: Ovalbumin, i.p.: Intraperitoneally, i.n.: Intranasally.

Symptoms of the rats were observed on study Day 1. The Sham group consisted of healthy animals receiving no intervention. Anesthesia was then achieved with xylazine 10 mg/kg (Xylazinbio 2% 50 mL, Bioveta) and ketamine 40 mg/kg (Ketasol 10% 10 mL, Richter Pharma AG). The animals were subsequently weighed and assigned tail numbers. Groups were selected randomly.

Sensitization and provocation

An antigen solution was prepared using 1 mL physiological saline 0.9% (SF, saline), 1 mg ovalbumin (OVA, grade VI, Sigma-Aldrich Chemical Co., St. Louis, MO), and 10 mg aluminum hydroxide as an adjuvant. The solution was administered to the rats in the Negative Control, Positive Control, and Study groups via intraperitoneal injection every 2 days, with a total of seven injections over 13 days (Days 1, 3, 5, 7, 9, 11, and 13).14

During the 14 days following sensitization, 0.04 g OVA was dissolved in 2 mL SF to obtain a 2% (w/v) OVA-SF solution each day. This solution was administered to the 30 sensitized animals in the Negative Control, Positive Control, and Study groups using a micropipette as 25 microliters (µL) in each nostril (50 µL per rat), thereby creating an allergic rhinitis model through intranasal provocation with OVA in sensitized rats.15

Treatment

Intranasal administration of OVA continued throughout the study. Furthermore, both the Positive Control and Study groups received daily intranasal treatment from Days 21 through 28. Intranasal treatments were administered one hour before the OVA was given. Daily administrations followed a consistent schedule. A daily dose of 0.1 mL mometasone furoate (Nazoster®, Santa Farma Drug Industry, Istanbul, Türkiye, 50 µg per spray, equivalent to 50 µg per nostril) was administered to each nostril of rats in the Positive Control group using a micropipette.14 Rats in the Study group were given a curcumin solution (200 mg/mL) prepared using distilled water. Using a micropipette, 20 µL of this solution was administered to each nostril two times a day.16,17 Solutions were prepared fresh each day for the study.

Assessment of symptoms

Clinical observations were independently performed by two blinded observers. A clinical assessment was conducted focusing on the key symptoms of allergic rhinitis: sneezing, nasal itching, and nasal discharge. Data were collected through assessments performed on Days 1, 14, 15, 20, 23, 26, and 27. Following intranasal OVA administration, each rat was isolated in an individual cage for a 10-minute acclimation period before undergoing a 10-minute observation. Symptom scores were determined using a four-point scale, as illustrated in Table 1. Symptoms were individually assessed and assigned a score from 0 to 3, reflecting their intensity.17,18 A total score ≥5 was considered indicative of a successful allergic rhinitis model.19

Table 1 Symptom scoring system for the assessment of nasal itching, sneezing, and nasal discharge in the experimental rat model of allergic rhinitis.

0 point 1 point 2 point 3 point
No. of nasal itching motion (scratches) (time/minute) None 2 4-6 >6
No. of sneezes (time/10 min) None 1-3 4-9 ≥10
Amount of nasal flow None In a nostril Outside a nostril Over-flowing both nostril

Measurement of IgE levels

Intracardiac blood samples of 2–4 cc were collected under anesthesia before the animals were sacrificed. Whole blood samples were collected using EDTA as an anticoagulant and centrifuged at 3000 rpm for approximately 20 minutes. Supernatants were carefully collected in Eppendorf tubes and stored at −40°C to −80°C. OVA-specific IgE measurements were performed using the ELISA method (Rat OVA-Specific IgE ELISA Kit/96 Tests, MyBioSource, Inc., USA).

Histopathological examination

Decapitation, performed under ketamine/xylazine anesthesia (40 mg/kg/10%, 10 mg/kg/2%), was used to euthanize the rats 24 hours after their last drug dose. Following decapitation, the eyes, skin, muscles, brain, pituitary gland, and lower jaw were dissected. The residual specimen (nasal cavity, paranasal sinuses, and conchae), resected en bloc, was thoroughly lavaged with 10% formalin prior to individual placement in containers containing 400 cc of the same fixative. Tissue specimens were preserved in 10% formalin for 48 hours. Decalcification of the bone tissue was subsequently achieved through a 36-hour immersion in 10% formic acid. Transverse sections were obtained from decalcified heads.20 Microtomy was employed to generate 4–5 μm sections after dehydration and paraffin embedding. The staining protocol utilized hematoxylin and eosin (H&E). The same histological procedures were also applied to the Sham and Negative Control groups, which did not receive drug doses.

Edema, vascular congestion, cilia loss, increased goblet cells, inflammation, and increased eosinophils were scored through light microscopy examination.2123 The semiquantitative assessment employed a four-point scale: 0 for no change, 1 for mild change ((minimal focal change), 2 for considerable change (moderate diffuse involvement), and 3 for significant change (marked and extensive change). All evaluations were performed independently by two pathologists blinded to group allocation.

Statistical analysis

The sample size was determined to be 10 rats per group, based on a projected large effect size (0.58) for the primary outcome, an alpha of 0.05, and a power of 0.80. Results were expressed as mean ± standard deviation, median (interquartile range), and number (%). The suitability of the data for normal distribution was evaluated using the Shapiro-Wilk test. Data showing normal distribution across groups were compared using one-way ANOVA (with Tukey’s HSD post-hoc test if significant) and Kruskal-Wallis tests (with Bonferroni-corrected Mann-Whitney U post-hoc tests if significant). Before-and-after group comparisons used paired t-tests when normality held, and Wilcoxon tests when it did not. Categorical data were compared using a chi-square test. Statistical analysis was performed using the SPSS 20.0 (License No: 10240642) package program. A p-value <0.05 was considered statistically significant.

Results

Histological findings

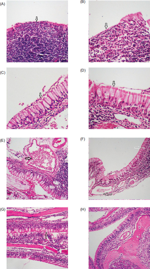
In the Negative Control group, increased goblet cells and cilia loss were observed in the respiratory epithelium; increased inflammatory cells with lymphocyte dominance and eosinophils were noted in the lamina propria, and vascular congestion and edema were detected in the connective tissue (Figure 2). A comparative analysis revealed statistically significant elevations (p<0.05) in cilia loss (p=0.007), goblet cell numbers (p=0.006), inflammatory response (p=0.003), edema (p=0.007), and vascular congestion (p=0.041) in the Negative Control group compared to the Sham group. No significant differences were observed between the Study and Sham groups or between the Study and Positive Control groups.

Figure 2 Histopathological examination. (A) Inflammatory cells infiltrating the epithelium in the Negative Control group (HEx100). (B) Inflammation with a small number of eosinophils in the Study group (HEx200). (C) Increased goblet cells and cilia loss in the Negative Control group (HEx400). (D) Significantly decreased cilia loss in the Study group (HEx400). (E) Increased vascular congestion in the Negative Control group (HEx200). (F) Significantly reduced vascular ongestion (black arrow) and mildly increased goblet cells (white arrow) in the Study group (HEx100). (G) Slight increase in goblet cells and no inflammation in the Positive Control group (HEx200). (H) Normal mucosa in the Sham group (HEx100).

Statistical analysis revealed no significant differences (p>0.05) in edema, vascular congestion, cilia loss, goblet cell increase, inflammation, or eosinophil increase between the Study and Positive Control groups. Edema, vascular congestion, cilia loss, and eosinophil increase showed no statistically significant differences between the Study and Sham groups (p=0.214, p=0.078, p=0.113, p=0.054).

Assessment of symptom scores

Prior to treatment, all rats administered intranasal OVA demonstrated an increase in the classic symptoms of allergic rhinitis, namely sneezing, nasal pruritus, and nasal discharge. By study Day 20, all rat groups except the Sham group exhibited symptom scores of 5 or greater, thereby confirming the successful establishment of an allergic rhinitis model.

Throughout the assessment period, the Sham group rats consistently presented with a symptom score of zero. The Negative Control group received only intranasal OVA commencing on Day 20, exhibiting a progressive increase in symptom scores across all assessments. Conversely, following intranasal treatment, a progressive decline in symptom scores was observed in both the Positive Control and Study groups across all observations.

Intranasal treatment resulted in statistically significant decreases in symptom scores for the Positive Control group and the Study group (p=0.004 in each group). Post-study symptom score analysis revealed no significant difference between the Positive Control and Study groups (p=1.000).

Serum IgE results

A decrease in OVA-specific IgE levels was observed in the Study group relative to the Allergic Rhinitis group; nevertheless, this reduction was not statistically significant (p=0.81). The analysis of the current study revealed no statistically significant difference in outcomes between the Positive Control and Study groups (p=0.996). A summary of the results is provided in Table 2.

Table 2 Comparison of histopathological findings, symptom scores, and serum ovalbumin-specific IgE levels among the Sham, Negative Control, Positive Control, and Study groups.

Sh (n=10) n (%) NC (n=10) n (%) PC (n=10) n (%) S (n=10) n (%)
Edema None 6 (60) 0 (0) 9 (90) 8 (80)
Mild 4 (40) 7 (70) 0 (0) 1 (10)
Moderate 0 (0) 3 (30) 1 (10) 1 (10)
Severe 0 (0) 0 (0) 0 (0) 0 (0)
Vascular congestion None 7 (70) 0 (0) 2 (20) 2 (20)
Mild 2 (20) 5 (50) 4 (40) 6 (60)
Moderate 1 (10) 1 (10) 2 (20) 2 (20)
Severe 0 (0) 4 (40) 2 (20) 0 (0)
Cilia loss None 8 (80) 0 (0) 6 (60) 5 (50)
Mild 1 (10) 2 (20) 4 (40) 5 (50)
Moderate 1 (10) 7 (70) 0 (0) 0 (0)
Severe 0 (0) 1 (10) 0 (0) 0 (0)
Goblet cell increase None 7 (70) 0 (0) 3 (30) 1 (10)
Mild 3 (30) 6 (60) 6 (60) 6 (60)
Moderate 0 (0) 3 (30) 1 (10) 2 (20)
Severe 0 (0) 1 (10) 0 (0) 1 (10)
Inflammation None 0 (0) 0 (0) 6 (60) 4 (40)
Mild 6 (60) 1 (10) 2 (20) 2 (20)
Moderate 4 (40) 7 (70) 1 (10) 1 (10)
Severe 0 (0) 2 (20) 1 (10) 3 (30)
Eosinophil increase None 1 (10) 0 (0) 7 (70) 6 (60)
Mild 8 (80) 4 (40) 2 (20) 3 (30)
Moderate 1 (10) 5 (50) 1 (10) 1 (10)
Severe 0 (0) 1 (10) 0 (0) 0 (0)
Symptom scores [median (interquartile range)] Day 14 0 (0–0) 1 (0-2) 1 (1,0–1,25) 1 (0,0–1,25)
Day 15 0 (0–0) 3 (1-4) 2 (2-4,25) 3 (1-4)
Day 20 0 (0–0) 5,5 (5-6,25) 6 (5-6,25) 5 (5-6)
Day 23 0 (0–0) 6 (5-6,25) 2,5 (1-3,25) 3 (2-4,25)
Day 26 0 (0–0) 6 (6-7) 2,5 (1,75-3) 3 (2-4,25)
Day 27 0 (0–0) 7 (6-8) 2 (1-2) 2,5 (2-3,25)
Ovalbumin-specific (ng/mL) (mean ± standard deviation) - 8,6290 ± 3,96236 4,5120 ± 2,21493 4,8640 ± 4,23142

Sh: Sham group; NC: Negative Control group; PC: Positive Control group; S: Study group.

Discussion

Intranasal steroids demonstrate efficacy across the spectrum of allergic rhinitis symptoms while exhibiting a reduced incidence of systemic adverse effects compared to alternative agents.24,25 The anti-allergic properties of curcumin and other flavonoids, however, are still under investigation. In this study, we used a rat model of allergic rhinitis to explore the anti-allergic effects of curcumin.

A guinea pig model of allergic rhinitis was developed by Thakare et al.26 using OVA. Curcumin (100 mg/kg and 200 mg/kg) and montelukast (10 mg/kg) were administered orally to the animal subjects. The results demonstrated a statistically significant decrease in sneezing and itching symptoms among subjects administered 200 mg/kg of curcumin. Furthermore, reductions in nasal discharge and watery eyes were observed. Zhang et al.27 developed an OVA-induced allergic rhinitis model in mice. Researchers found that both 100 and 200 mg/kg doses of curcumin, given by gavage, significantly reduced sneezing and itching.

Acar et al.16 compared the effectiveness of intranasal curcumin with a group treated with intranasal azelastine and a Sham group. Their study concluded that rats in the group treated with intranasal curcumin showed significantly less sneezing, nasal itching, runny noses, and watery eyes. However, a detailed analysis revealed no statistically significant difference in symptom relief between intranasal curcumin and intranasal azelastine. The study by Acar et al. also reported that curcumin significantly lessened itching, sneezing, and nasal discharge among the treated rats. In addition, there was no significant difference in symptom score reduction between mometasone furoate and curcumin.

In previous studies, histopathological examination of experimental animals revealed that intranasal curcumin lessened inflammatory cell infiltration, vascular proliferation, and epithelial goblet cell metaplasia in the nasal mucosa.6,26,27 In the present study, mirroring previous research, intranasal steroids and curcumin significantly reduced edema, cilia loss, inflammation, and eosinophil increase. Although vascular congestion decreased with curcumin, the difference was not statistically significant, as determined by t-test analysis. A slight but measurable elevation in goblet cell numbers was detected, potentially indicative of irritation or infection. The current study revealed comparable histopathological outcomes for intranasal curcumin and steroid treatments, with no statistically significant differences observed. Future studies could include a group receiving intranasal OVA without prior sensitization to better assess goblet cell changes.

Studies using ovalbumin-induced allergic rhinitis models in mice and guinea pigs showed that 200 mg/kg of oral curcumin significantly reduced OVA-specific IgE levels.27,28 Moreover, published studies demonstrate that different flavonoids decrease serum OVA-specific IgE levels, including via intranasal application.23

The present study found no statistically significant difference in OVA-specific IgE levels between the Steroid and Study groups. Compared to the Negative Control group, both groups showed lower OVA-specific IgE levels. Nonetheless, a statistically significant difference was observed solely between the Positive and Negative Control groups. Once sensitization is induced, sIgE levels—although a reduction supports Th2 inhibition—have limited clinical relevance compared to clinical and histological findings.

The findings of the current study demonstrate a reduction in sneezing, nasal itching, and rhinorrhea among allergic rhinitis patients following intranasal curcumin administration, aligning with previous research. Consistent with the literature, intranasal curcumin treatment resulted in significantly improved histopathological features of the nasal mucosa, with the inflamed tissue showing signs of healing.

A randomized double-blind study of 241 patients with allergic rhinitis compared 5 mg of curcumin daily to a placebo over 2 months; the curcumin group showed improved symptoms and nasal airflow.26 Strong evidence from multiple studies confirms the significant immunomodulatory and anti-allergic effects of curcumin.29 The present study suggests that intranasal curcumin could offer a promising alternative treatment for allergic rhinitis in the future, demonstrating potential in its effects.

Conclusion

This study suggests that intranasal curcumin could be a viable alternative to steroid nasal sprays for allergic rhinitis, effectively reducing symptoms and showing comparable improvements in tissue samples. The reduction in allergy symptoms (sneezing, itching, rhinorrhea) and nasal inflammation observed with curcumin highlights its potential therapeutic value. Histopathological and symptomatic improvements support prior research demonstrating curcumin’s anti-inflammatory and immunomodulatory effects. Because of its accessibility, affordability, and safety, intranasal curcumin may be a promising addition to, or replacement for, standard treatments. Further investigation, including human clinical trials, is necessary to validate its long-term effectiveness, identify optimal dosing, and assess its role within standard allergic rhinitis management.

Author Contributions

All authors contributed equally to this article.

Conflict of Interest

The authors declare no conflict of interest.

Funding

This work was supported by the Trakya University Scientific Research Fund (decision number: TÜBAP-2018/329).

REFERENCES

1 Nagai H, Teramachi H, Tuchiya T. Recent advances in the development of anti-allergic drugs. Allergol Int. 2006;55(1):35-42. 10.2332/allergolint.55.35

2 Varshney J, Varshney H. Allergic Rhinitis: an Overview. Indian J Otolaryngol Head Neck Surg. 2015;67(2):143-9. 10.1007/s12070-015-0828-5

3 Brozek JL, Bousquet J, Baena-Cagnani CE, Bonini S, Canonica GW, Casale TB, et al. Allergic Rhinitis and its Impact on Asthma (ARIA) guidelines: 2010 revision. J Allergy Clin Immunol. 2010;126(3):466-76. 10.1016/j.jaci.2010.06.047

4 Blaiss MS, Hammerby E, Robinson S, Kennedy-Martin T, Buchs S. The burden of allergic rhinitis and allergic rhinoconjunctivitis on adolescents: A literature review. Ann Allergy Asthma Immunol. 2018;121(1):43-52.e3. 10.1016/j.anai.2018.03.028

5 Kahraman A, Serteser M, Koken T. Flavonoidler. Kocatepe Tıp Dergisi. 2002;3(1).

6 Kumar S, Pandey AK. Chemistry and biological activities of flavonoids: an overview. ScientificWorldJournal. 2013;2013:162750. 10.1155/2013/162750

7 Aggarwal BB, Harikumar KB. Potential therapeutic effects of curcumin, the anti-inflammatory agent, against neurodegenerative, cardiovascular, pulmonary, metabolic, autoimmune and neoplastic diseases. Int J Biochem Cell Biol. 2009;41(1): 40-59. 10.1016/j.biocel.2008.06.010

8 Bhattacharyya S, Mandal D, Sen GS, Pal S, Banerjee S, Lahiry L, et al. Tumor-induced oxidative stress perturbs nuclear factor-kappaB activity-augmenting tumor necrosis factor-alpha-mediated T-cell death: protection by curcumin. Cancer Res. 2007;67(1):362-70. 10.1158/0008-5472.CAN-06-2583

9 Shishodia S, Sethi G, Aggarwal BB. Curcumin: getting back to the roots. Ann N Y Acad Sci. 2005;1056:206-17. 10.1196/annals.1352.010

10 Srivastava RM, Singh S, Dubey SK, Misra K, Khar A. Immunomodulatory and therapeutic activity of curcumin. Int Immunopharmacol. 2011;11(3):331-41. 10.1016/j.intimp.2010.08.014

11 Wu S, Xiao D. Effect of curcumin on nasal symptoms and airflow in patients with perennial allergic rhinitis. Ann Allergy Asthma Immunol. 2016;117(6):697-702.e1. 10.1016/j.anai.2016.09.427

12 Xiao Y, Xia J, Wu S, Lv Z, Huang S, Huang H, et al. Curcumin Inhibits Acute Vascular Inflammation through the Activation of Heme Oxygenase-1. Oxid Med Cell Longev. 2018;2018:3295807. 10.1155/2018/3295807

13 Lee JH, Kim JW, Ko NY, Mun SH, Her E, Kim BK, et al. Curcumin, a constituent of curry, suppresses IgE-mediated allergic response and mast cell activation at the level of Syk. J Allergy Clin Immunol. 2008;121(5):1225-31. 10.1016/j.jaci.2007.12.1160

14 Sagit M, Polat H, Gurgen SG, Berk E, Guler S, Yasar M. Effectiveness of quercetin in an experimental rat model of allergic rhinitis. Eur Arch Otorhinolaryngol. 2017;274(8): 3087-95. 10.1007/s00405-017-4602-z

15 Altıntoprak N, Kar M, Acar M, Berkoz M, Muluk NB, Cingi C. Antioxidant activities of curcumin in allergic rhinitis. Eur Arch Otorhinolaryngol. 2016;273(11):3765-73. 10.1007/s00405-016-4076-4

16 Acar M, Muluk NB, Yigitaslan S, Cengiz BP, Shojaolsadati P, Karimkhani H, et al. Can curcumin modulate allergic rhinitis in rats? J Laryngol Otol. 2016;130(12):1103-9. 10.1017/S0022215116008999

17 Wen WD, Yuan F, Wang JL, Hou YP. Botulinum toxin therapy in the ovalbumin-sensitized rat. Neuroimmunomodulation. 2007;14(2):78-83. 10.1159/000107422

18 Senturk E, Yildirim YS, Dogan R, Ozturan O, Guler EM, Aydin MS, et al. Assessment of the effectiveness of cyclosporine nasal spray in an animal model of allergic rhinitis. Eur Arch Otorhinolaryngol. 2018;275(1):117-24. 10.1007/s00405-017-4786-2

19 Assanasen P, Baroody FM, Rouadi P, Naureckas E, Solway J, Naclerio RM. Ipratropium bromide increases the ability of the nose to warm and humidify air. Am J Respir Crit Care Med. 2000;162(3 Pt 1):1031-7. 10.1164/ajrccm.162.3.9912055

20 Herbert RA, Janardhan KS, Pandiri AR, Cesta MF, Miller RA. Nose, larynx, and trachea. Boorman’s Pathology of the Rat: Elsevier; 2018. p. 391-435. 10.1016/B978-0-12-391448-4.00022-8

21 Ercan I, Cakir BO, Başak T, Ozbal EA, Sahin A, Balci G, et al. Effects of topical application of methotrexate on nasal mucosa in rats: a preclinical assessment study. Otolaryngol Head Neck Surg. 2006;134(5):751-5. 10.1016/j.otohns.2005.11.046

22 Bousquet J, Jacot W, Vignola AM, Bachert C, Van Cauwenberge P. Allergic rhinitis: a disease remodeling the upper airways? J Allergy Clin Immunol. 2004;113(1):43-9. 10.1016/0091-6749(91)90299-4

23 Avincsal MO, Ozbal S, Ikiz AO, Pekcetin C, Güneri EA. Effects of topical intranasal doxycycline treatment in the rat allergic rhinitis model. Clin Exp Otorhinolaryngol. 2014;7(2):106-11. 10.3342/ceo.2014.7.2.106

24 Bousquet J, Khaltaev N, Cruz AA, Denburg J, Fokkens WJ, Togias A, et al. Allergic Rhinitis and its Impact on Asthma (ARIA) 2008 update (in collaboration with the World Health Organization, GA(2)LEN and AllerGen). Allergy. 2008;63 Suppl 86:8-160.

25 Gupta R, Fonacier LS. Adverse Effects of Nonsystemic Steroids (Inhaled, Intranasal, and Cutaneous): a Review of the Literature and Suggested Monitoring Tool. Curr Allergy Asthma Rep. 2016;16(6):44. 10.1007/s11882-016-0620-y

26 Thakare VN, Osama MM, Naik SR. Therapeutic potential of curcumin in experimentally induced allergic rhinitis in guinea pigs. Int Immunopharmacol. 2013;17(1):18-25. 10.1016/j.intimp.2013.04.025

27 Zhang N, Li H, Jia J, He M. Anti-inflammatory effect of curcumin on mast cell-mediated allergic responses in ovalbumin-induced allergic rhinitis mouse. Cell Immunol. 2015;298(1-2):88-95. 10.1016/j.cellimm.2015.09.010

28 Subhashini, Chauhan PS, Kumari S, Kumar JP, Chawla R, Dash D, et al. Intranasal curcumin and its evaluation in murine model of asthma. Int Immunopharmacol. 2013;17(3):733-43. 10.1016/j.intimp.2013.08.008

29 Owaga EE, Mponda J, Nyang’inja RA. Nutrigenomic approach in understanding the antiallergic effects of curcumin. Asian Journal of Biomedical and Pharmaceutical Sciences. 2014;4(31):1. 10.15272/ajbps.v4i31.487