Download

ORIGINAL ARTICLE

LARP7 upregulates SIRT1 deacetylase activity and inhibits Th1/Th17 cytokine response in psoriatic mice

Na Li, Yulei Liu*

Department of Dermatology, the Affiliated Hospital of Inner Mongolia Medical University, Hohhot, Inner Mongolia Autonomous Region, China

*Corresponding author: Yulei Liu, Department of Dermatology, the Affiliated Hospital of Inner Mongolia Medical University, No. 1 Tongdaobei-Road, Hohhot, Inner Mongolia Autonomous Region 010000, China. Email address: [email protected].

Abstract

Objective: To investigate the possible role of La ribonucleoprotein 7 (LARP7) in psoriasis through a mouse model and uncover its underlying mechanism.

Methods: The back skin of C57BL/6 mice was smeared with IMquimod (IMQ) cream for 7 days to induce psoriasis. Immunoblot kit was used to detect the deacetylase activity of SIRT1 (member of sirtuin family). Hematoxylin and eosin staining was used to assess the degree of psoriasis in mouse. Flow cytometry assays were performed to confirm effects on Th1/Th17 cell differentiation. Enzyme-linked-immunosorbent serologic assays were used to detect the level of secreted cytokines.

Results: LARP7 upregulated SIRT1 deacetylase activity. LARP7 alleviated psoriasis symptoms in mice by upregulating SIRT1 deacetylase activity. In addition, LARP7 regulated Th1/Th17 cell differentiation in psoriatic mice. We further found that LARP7 inhibited Th1/Th17 cytokine.

Conclusion: LARP7 upregulated SIRT1 activity and inhibited Th1/Th17 cytokine response in psoriatic mice.

Key words: deacetylase, LARP7, psoriasis, SIRT1, Th1/Th17

Received 18 July 2023; Accepted 22 August 2023; Available online 1 November 2023

DOI: 10.15586/aei.v51i6.959

Copyright: Li N and Liu Y
License: This open access article is licensed under Creative Commons Attribution 4.0 International (CC BY 4.0). http://creativecommons.org/licenses/by/4.0/

Introduction

Psoriasis is a complex immune-mediated hyperproliferative disease characterized by the over-proliferation of epidermal keratinocytes, which form elongated reticular ridges.1,2 Psoriasis is a T-cell-mediated inflammatory skin disease featured by the excessive proliferation and abnormal differentiation of epidermal keratinocytes,1 that is caused by a constant interaction between infiltrating inflammatory cells and activated keratinocytes.35 There is evidence that the proportion of Th1 and Th17 cells in skin lesions was significantly increased in patients with psoriasis, compared to normal people.6 Subsequently, cytokines such as interleukin 17A (IL-17A), IL-17, IL-22, and i nterferon gamma (IFN-γ) are induced.7 In order to treat psoriasis in a better manner, it is necessary to explore its pathogenesis and identify effective therapeutic targets.

La ribonucleoprotein 7 (LARP7) is an RNA- binding protein in of La family that binds to 7SK RNA and forms a stable ribonucleoprotein complex with methyl phosphate end-blocking enzyme.8 Its primary molecular function is thought to prevent P-TEFb, the releasing factor of RNA polymerase II (RNAPII) from binding to RNAPII, and then inhibiting the transcription of RNA polymerase II (RNAPII).9,10 LARP7 has been shown to inhibit breast cancer proliferation and metastasis.9 Overexpression of LARP7 in myocardial tissue or injection of ataxia-telangiectasia mutated (ATM) inhibitor KU60019 in mice with myocardial infarction mice can inhibit overactivation of this pathway, significantly improving cardiac function, preventing heart failure, and reducing mortality in experimental animals.11 LARP7 improves cell senescence and aging by allosteric enhancement of SIRT1 (member of sirtuin family) activity. Our previous studies have demonstrated that LARP7 alleviated psoriasis in mice through regulating the SIRT1/nuclear factor kappa B (NF-κB) pathway.1214 The role and mechanism of LARP7 in psoriasis needs further study.

The SIRT1/NF-κB pathway has been shown to be vital in regulation of psoriasis.12 Activation of NF-κB mediates Th17 cell differentiation in psoriatic lesions.12 SIRT1 is a member of sirtuin family, and its activation inhibits oxidative stress pathways, such as NF-κB, mitogen-activated protein kinase (MAPK), and signal transducer and activator of transcription 3 (STAT3) signaling pathways, regulates balance between Th17/Treg cells, and inhibits inflammation and excessive proliferation of keratinocytes.12

This study aimed to clarify the role of LARP7 in psoriasis. Our results showed that LARP7 upregulates SIRT1 deacetylase activity to regulate p65 acetylation levels and reduce psoriasis symptoms and Th1/Th17 cytokine response in the spleen of mice.

Materials and methods

Animal procedures

Thirty female nude mice (aged 8 weeks; weight, 22–24 g; n = 6 mice/group) were purchased from the Beijing Vital River Laboratory Animal Technology Co. Ltd (Beijing, China). The mice were housed in an air-conditioned-regulated environment (20°C and 40% humidity) under a 12-h light–dark cycle with ad libitum access to food and water. Anesthesia was induced by inhalation of 2.5% isoflurane and was maintained with 1% isoflurane. Cardiac activity in the mice was monitored and their death was confirmed by cardiac arrest. The mice were monitored once a day before commencement of the study, and after beginning of the study, the mice were monitored twice a day until the cessation.

The mice hair were shaved on the back and left ears. The animals were randomly divided into five groups: control, IMquimod (IMQ), IMQ + adeno-associated virus vector (AAV), IMQ + AAV-LARP7, and IMQ + AAV-LARP7 + EX-527. AAV was injected through intraperitoneal route. To induce psoriasis, mice were administered with 62.5-mg IMQ daily on the shaved skin. The thickness of the left ear was measured 4 h after the application of IMQ on the seventh day. Erythema, scale, and thickness were recorded based on the scoring system of the psoriasis area and severity index (PASI). The study was approved by the Animal Ethics Committee of the Affiliated Hospital of Inner Mongolia Medical University (Approval No. 2021141).

Hematoxylin and eosin (H&E) staining

Skin samples in each group were fixed and embedded in paraffin and cut into 6-μm sections. The sections were then stained with H&E staining solution. In short, slides containing paraffin-embedded sections were placed in slide holder. Then the sections were deparaffinized and rehydrated according to the following processes: 4 × 2-min xylene (blot excess xylene before going to ethanol); 2 × 2-min 100% ethanol; 2 × 2-min 95% ethanol; 2 × 2-min 80% ethanol; and rinsed in deionized water. The sections were stained with eosine for 30 s and dried overnight.

Immunoblot assay

Proteins were extracted with radioimmunoprecipitation assay (RIPA) buffer (Beyotime, Shanghai, China). The bicinchoninic acid (BCA) assay was used for determining protein concentration, after which proteins were separated (20 µg/lane) by sodium dodecyl sulfate–polyacrylamide gel electrophoresis (SDS-PAGE) on 8% gels. Proteins were then transferred onto polyvinylidene difluoride membranes (MilliporeSigma, MA, USA), which were blocked at room temperature for 2 h in tris-buffered saline containing 0.2% Tween 20 and 5% non-fat milk. Subsequently, membranes were incubated with primary antibodies, including LARP7 (1:1000, ab134746; Abcam, Cambridge, UK), ac-p65 (1:1000, ab218533; Abcam), p65 (1:1000, ab32536; Abcam), SIRT1 (1:1000, ab110304; Abcam), and β-actin (1:5000, ab8226; Abcam) at 4°C overnight. Subsequently the membranes were incubated with secondary antibodies for 1 h. Proteins were visualized using an enhanced chemiluminescence detection reagent (Pierce; Thermo Fisher Scientific, MA, USA) and analyzed using the ImageJ 9.0 software (National Institutes of Health, MD, USA).

Enzyme-linked-immunosorbent serologic assay (ELISA)

The levels of IFN-γ (ab282874; Abcam), tumor necrosis factor-α (TNF-α; ab181421; Abcam), IL-17A (ab199081; Abcam), IL-17F (ab204522; Abcam), IL-22 (ab223857; Abcam), and IL-23 (ab119545; Abcam) were assessed using ELISA kit under manufacturer’s guidelines. Biotin-conjugated primary antibodies were added and followed by avidin-conjugated horseradish peroxidase (HRP). Subsequently, enzyme substrate was used for color reaction.

Flow cytometry (FCM) assay

Flow cytometry assay was conducted as described previously.15 In brief, the cells were first washed with phosphate-buffered saline (PBS) and then fixed with 70% ethanol at -20°C for 2 h. Subsequently, the cells were stained with IL-17A+ (Th17; Abcam) and IFN-γ+ (Th1; Abcam) at 4°C and the cell count was done using FACS Calibur flow cytometer and CellQuest Pro 5.1 (BD Biosciences, NJ, USA).

Statistical analysis

Data were analyzed using the GraphPad 8.0 software (GraphPad Software, CA, USA). Error bars represent mean ± SD. The unpaired Student’s t-test was used to determine statistical significance between two groups. One-way ANOVA followed by Tukey’s post hoc test was used for multiple comparisons. P < 0.05 indicated a statistically significant difference.

Results

LARP7 upregulated SIRT1 deacetylase activity in psoriatic mice

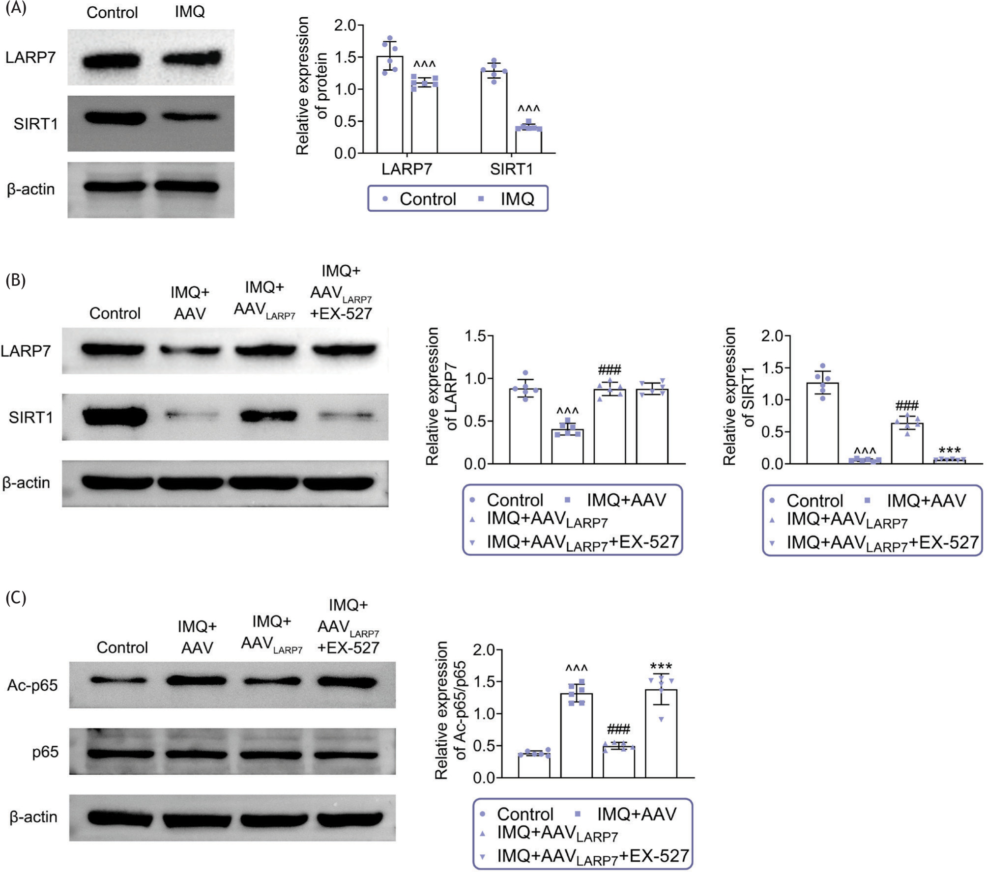
To investigate the role of LARP7 in psoriasis, IMQ-induced psoriatic mouse model was constructed. As shown in Figure 1A, LARP7 was reduced by IMQ stimulation, and the expression of SIRT1 was also decreased in lesion tissues. However, decreased LARP7 expression was reversed by AAV-LARP7 injection (Figure 1A). We further observed that AAV-LARP7 injection increased the expression of SIRT1 in lesion tissues (P < 0.001; Figure 1B). However, the treatment of SIRT1 inhibitor, EX-527, decreased the expression of SIRT1 but had no effect on the expression of LARP7 (P < 0.001; Figure 1B). p65 is a downstream protein of SIRT1, which could be deacetylased by SIRT1. Through immunoblot assays, we observed that induction of IMQ increased the acetylation levels of p65 whereas overexpression of LARP7 significantly decreased p65 acetylation, and EX-527 treatment further enhanced p65 acetylation levels in lesion tissues (P < 0.001; Figure 1C). Therefore, LARP7 upregulated SIRT1 deacetylase activity in psoriatic mice.

Figure 1 LARP7 upregulated SIRT1 deacetylase activity. (A) Immunoblot assays showed the expression of LARP7 and SIRT1 in lesion tissues of mice in the indicated group. (B) Immunoblot assays showed the expression of LARP7 and SIRT1 in lesion tissues of mice in the control and IMQ groups upon having the indicated treatment. (C) Immunoblot assays showed the expression of p65 and Ac-p65 in lesion tissues of mice in the control and IMQ groups upon having the indicated treatment. Data are presented as mean ± SD. ^^^P < 0.001, IMQ vs. control, ###P < 0.001, IMQ+AAV-LARP7 vs. IMQ+AAV, ***P < 0.001, IMQ+AAV-LARP7+EX-527 vs. IMQ+AAV-LARP7

LARP7 alleviated psoriasis symptoms in mice by upregulating SIRT1 deacetylase activity

We discovered the effects of LARP7 on psoriatic mice. The skin of IMQ mice was characterized by erythema, scales, thickening, and epidermal spines (Figure 2A). Overexpression of LARP7 alleviated the symptoms, which were reversed by EX-527 treatment in mice (Figure 2A). LARP7 overexpression further decreased the PASI score and ear thickness, which were lessened in EX-527-treated mice (Figures 2B and 2C). The expression of SIRT1 was also discovered through immunostaining. IMQ treatment decreased the expression of SIRT1 (Figure 2D). Through H&E staining, we observed that mice in the IMQ group showed increased epidermal spinous hypertrophy, keratinosis, and a higher degree of epidermal thickening, and these symptoms were significantly relieved after LARP7 overexpression (P < 0.001, Figure 2E). Moreover, EX-527 treatment significantly reversed the symptoms caused by LARP7 overexpression in IMQ mice (Figure 2E). Collectively, LARP7 alleviated psoriasis symptoms in mice by upregulating SIRT1 deacetylase activity.

Figure 2 LARP7 alleviated psoriasis symptoms in mice by upregulating SIRT1 deacetylase activity. (A) Lesions (back + left ear) in mice of the control and IMQ groups upon having the indicated treatment. (B) PASI scoring showed the degree of lesions in mice of the control and IMQ groups upon having the indicated treatment. (C) Ear thickness showed the degree of lesions in mice from the control and IMQ groups upon having the indicated treatment. (D) Immunostaining showed the expression of SIRT1 in mice of the control and IMQ groups upon having the indicated treatment. (E) H&E staining showed lesions in mice of the control and IMQ groups upon having the indicated treatment. Data are presented as mean ± SD. ^^^P < 0.001, IMQ vs. control, ##P < 0.01, ###P < 0.001, IMQ+AAV-LARP7 vs. IMQ+AAV, ***P < 0.001, IMQ+AAV-LARP7+EX-527 vs. IMQ+AAV-LARP7

LARP7 regulated Th1/Th17 cell differentiation in psoriatic mice

We then isolated CD4+ T cells and subsequently analyzed IL-17A+ (Th17) cell counts and IFN-γ+ (Th1) cell counts in CD4+ T cells by FCM. We noticed a significantly increased numbers of IL-17A+ cells and IFN-γ+ cells caused by IMQ induction (Figure 3). Further, LARP7 overexpression largely suppressed the numbers of Th1 and Th17 cells in IMQ mice (P < 0.001, Figure 3). We further observed that EX-527 treatment markedly reversed the inhibition of Th1 and Th17 cell numbers caused by LARP7 overexpression in IMQ mice (P < 0.001, Figure 3). Therefore, LARP7 regulated Th1/Th17 cell differentiation in psoriatic mice.

Figure 3 LARP7 regulated Th1/Th17 cell differentiation in psoriatic mice. FCM assays showed the IL-17+ (up) and IFN-γ (down) CD4+T cells from lession tissues in mice of the control and IMQ groups upon having the indicated treatment. The percentage was quantified. Data are presented as mean ± SD. ^^^P < 0.001, IMQ vs. control, ###P < 0.001, IMQ+AAV-LARP7 vs. IMQ+AAV, **P < 0.01, IMQ+AAV-LARP7+EX-527 vs. IMQ+AAV-LARP7

LARP7 inhibited the secretion of Th1/Th17 cytokine in psoriatic mice

Th1/Th17 cytokines in psoriasis were monitored by commercial ELISA kits. The secretion levels of IFN-γ, TNF-α, IL-17A, IL-17F, IL-22, and IL-23 were significantly enhanced in IMQ-induced mice (P < 0.001, Figure 4). However, LARP7 overexpression decreased the levels of these cytokines in psoriatic mice (P < 0.001, Figure 4). We further observed that EX-527 treatment increased the secretion of Th1/Th17 cytokines upon LARP7 overexpression in IMQ mice (P < 0.001, Figure 4). Therefore, we believed that LARP7 inhibited the secretion of Th1/Th17 cytokines in psoriatic mice.

Figure 4 LARP7 inhibited the secretion of Th1/Th17 cytokine. ELISA assays showed the secretion of IFN-γ, TNF-α, IL-17A, IL-17F, IL-22, and IL-23 in lession tissues in mice of the control and IMQ groups upon having the indicated treatment. Data are presented as mean ± SD. ^^^P < 0.001, IMQ vs. control, ###P < 0.001, IMQ+AAV-LARP7 vs. IMQ+AAV, ***P < 0.001, IMQ+AAV-LARP7+EX-527 vs. IMQ+AAV-LARP7.

Discussion

Psoriasis is a skin disease stimulated by environmental factors, multi-gene genetic control, and immune mediation. It is a type of chronic inflammatory skin disease with a background of polygenic inheritance, featured by excessive proliferation and abnormal differentiation of keratinocytes and inflammatory cell infiltration.16 A variety of immune cells are involved in the pathogenesis of psoriasis, such as dendritic cells, Th17 cells, and regulatory T cells.17,18 Presently, psoriasis is, in general, considered an autoimmune skin disease mediated by Th cells.19 CD4+T cells can also differentiate into Th17 cells and regulatory T cells. Studies have shown that psoriasis is an immune skin disease related to Th1 and Th17 cytokines, and the proportion of regulatory T cells in peripheral blood of psoriasis is decreased, which weakens the inhibitory function of self-effector T cells.19 Interestingly, we revealed that LARP7 alleviated psoriasis symptoms and Th1/Th17 cytokine response in the spleen of mice. Maintaining proper weight is one of the important means to maintain normal functioning of the immune system, and enduring attention to the nutrition balance is an important strategy to maintain functioning of the immune system.

Herein, the back skin of C57BL/6 mice was smeared with IMQ cream for 7 days to induce psoriasis like lesions. We revealed the effects of LARP7 on this model via a series of analyzes, such as H&E staining and ELISA assay. LARP7 is a C-terminal binding protein of 7SK RNA, a long non-coding RNA with the highest expression abundance in vivo. Larp7 gene mutations are associated with Alazami syndrome in humans.20 Further mechanism studies revealed that LARP7 binds both U6 and snoRNA to assist U6 loading onto box C/D snoRNP, which in turn prompts the methyltransferase fibrillarin (FBL) in box C/D snoRNP to perform 2'-O-methylation modification on it.20 Other researchers have found that LARP7 plays an important role in RNA polymerase II transcription, U6 snRNA modification, sperm development, heart failure, and endothelium-to-mesenchymal transformation (EndMT).21 LARP7 acts as a substrate of BRCA1/BARD1 E3 ubiquitin to regulate DNA homologous recombination repair during the DNA damage response (DDR), thereby affecting tumorigenesis and sensitivity to chemoradiation.21 In this study, we revealed a new role of LARP7. We confirmed that LARP7 could affect the progression of psoriasis via SIRT1, and the precise mechanism needs further study.

Notably, a previous study indicated that LARP7 is an allosteric agonist of the histone deacetylase SIRT1. LARP7 binds to the N-terminal of SIRT1 and directly promotes the deacetylase activity of SIRT1.12 LARP7 is a SIRT1-specific allosteric activator and is involved in the regulation of DDR-mediated cell aging process.12,14 In addition, inhibition of ATM-LARP7-SIRT1 pathway has promising effects on anti-vascular aging and atherosclerosis therapy.12 Our previous studies have demonstrated that LARP7 alleviates psoriasis symptoms in mice by modulating the SIRT1/NF-κB pathway.12 Here, we also revealed that LARP7 upregulates SIRT1 deacetylase activity to regulate p65 acetylation, thereby alleviating psoriasis. In addition, the SIRT1/NF-κB pathway is important in the regulation of psoriasis, and activation of NF-κB mediates Th17 cell differentiation, thereby promoting progression of psoriasis.12,14 SIRT1 inhibits psoriasis by inhibiting oxidative stress signaling pathways, such as NF-κB, MAPK, and STAT3, and by regulating the balance between Th17/Treg cells.22

Conclusion

In summary, LARP7 contributed to SIRT1 deacetylase activity to regulate p65 acetylation levels, and alleviated psoriasis and Th1/Th17 cytokines response in the spleen of mice. Therefore, LARP7 has the potential to act as a promising target of psoriasis.

Funding

This work was supported by Health Science and Technology Plan Project of Inner Mongolia Autonomous Region (Grant No. 202202171).

Conflict of interest

The authors stated that there was no conflict of interest to declare.

Data availability

The authors declared that all data supporting the findings of this study are available within the paper and any raw data could be obtained from the corresponding author upon request.

Author Contributions

Na Li and Yulei Liu designed and conducted the study. Both authors supervised data collection, data analysis and data interpretation. Both authors prepared the manuscript for publication and reviewed its draft. Both read and approved the final manuscript.

REFERENCES

1. Griffiths CE, Barker JN. Pathogenesis and clinical features of psoriasis. Lancet. 2007;370(9583):263–71. 10.1016/S0140-6736(07)61128-3

2. Krupka-Olek M, Bozek A, Drewienkowska M, Dryjka K, Medrala A. Immunological differences between atopic dermatitis, psoriasis, and their combination in adult patients. Allergol Immunopathol (Madr). 2022;50(4):143–6. 10.15586/aei.v50i4.557

3. Chen C, Yi X, Liu P, Li J, Yan B, Zhang D, et al. CD147 facilitates the pathogenesis of psoriasis through glycolysis and H3K9me3 Modification in keratinocytes. Research (Wash DC). 2023;6:167. 10.34133/research.0167

4. Li J, Yan W, Ren F, Sang H. Tectorigenin inhibits inflammation in keratinocytes by inhibition of NLRP3 inflammasome regulated by the TLR4/NF-kappaB pathway. Allergol Immunopathol (Madr). 2023;51(2):82–9. 10.15586/aei.v51i2.780

5. Liu L, Huan L, Zhang Y, Wei W, Chen Z, Xu D, et al. Ubiquitin-specific protease 8 inhibits lipopolysaccharide-triggered pyroptosis of human bronchial epithelial cells by regulating PI3K/AKT and NF-kappaB pathways. Allergol Immunopathol (Madr). 2022;50(2):96–103. 10.15586/aei.v50i2.568

6. Sigurgrimsdottir H, Bjornsdottir EO, Eysteinsdottir JH, Olafsson JH, Sigurgeirsson B, Agnarsson BA, et al. Keratinocytes secrete multiple inflammatory and immune biomarkers which are regulated by LL-37 in a psoriasis mimicking microenvironment. Scand J Immunol. 2021;94(6):e13096. 10.1111/sji.13096

7. Doo C, Bao L, Shen K, Yang JF, Shen RR, Chan LS. Diacerein alone and in combination with infliximab suppresses the combined proinflammatory effects of IL-17A, IL-22, oncostatin M, IL-1A, and TNF-alpha in keratinocytes: A potential therapeutic option in psoriasis. J Interferon Cytokine Res. 2021;41(8):302–6. 10.1089/jir.2021.0036

8. Markert A, Grimm M, Martinez J, Wiesner J, Meyerhans A, Meyuhas O, et al. The La-related protein LARP7 is a component of the 7SK ribonucleoprotein and affects transcription of cellular and viral polymerase II genes. EMBO Rep. 2008;9(6):569–75. 10.1038/embor.2008.72

9. Ji X, Lu H, Zhou Q, Luo K. LARP7 suppresses P-TEFb activity to inhibit breast cancer progression and metastasis. Elife. 2014;3:e02907. 10.7554/eLife.02907

10. Muniz L, Egloff S, Kiss T. RNA elements directing in vivo assembly of the 7SK/MePCE/Larp7 transcriptional regulatory snRNP. Nucleic Acids Res. 2013;41(8):4686–98. 10.1093/nar/gkt159

11. Yuan Z, Hu H, Zhu Y, Zhang W, Fang Q, Qiao T, et al. Colorectal cancer cell intrinsic fibroblast activation protein alpha binds to Enolase1 and activates NF-κB pathway to promote metastasis. Cell Death Dis. 2021;12(6):543. 10.1038/s41419-021-03823-4

12. Li N, Liu Y. LARP7 alleviates psoriasis symptoms in mice by regulating the SIRT1/NF-kappaB signaling pathway. Allergol Immunopathol (Madr). 2023;51(1):140–5. 10.15586/aei.v51i1.765

13. Guo J, Xue H, Zhong H, Sun W, Zhao S, Meng J, et al. Involvement of LARP7 in activation of SIRT1 to inhibit NF-kappaB signaling protects microglia from acrylamide-induced neuroinflammation. Neurotox Res. 2022;40(6):2016–26. 10.1007/s12640-022-00624-1

14. Yan P, Li Z, Xiong J, Geng Z, Wei W, Zhang Y, et al. LARP7 ameliorates cellular senescence and aging by allosterically enhancing SIRT1 deacetylase activity. Cell Rep. 2021;37(8):110038. 10.1016/j.celrep.2021.110038

15. Wang P, Mo Z, Zhang Y, Guo C, Chikede TK, Chen D, et al. Serum IL-5 levels predict HBsAg seroclearance in patients treated with nucleos(t)ide analogues combined with pegylated interferon. Front Immunol. 2022;13:1104329. 10.3389/fimmu.2022.1104329

16. Xu F, Xu J, Xiong X, Deng Y. Salidroside inhibits MAPK, NF-kappaB, and STAT3 pathways in psoriasis-associated oxidative stress via SIRT1 activation. Redox Rep. 2019;24(1):70–4. 10.1080/13510002.2019.1658377

17. Wang MJ, Huang HJ, Xu YY, Vos H, Gulersonmez C, Stigter E, et al. Metabolic rewiring in keratinocytes by miR-31-5p identifies therapeutic intervention for psoriasis. EMBO Mol Med. 2023;15(4):e15674. 10.15252/emmm.202215674

18. Luan Y, Liu H, Luan Y, Yang Y, Yang J, Ren KD. New insight in HDACs: Potential therapeutic targets for the treatment of atherosclerosis. Front Pharmacol. 2022;13:863677. 10.3389/fphar.2022.863677

19. Zhang G, Xia Z, Tian C, Xia A, You J, Liu J, et al. Discovery of 5-((1H-indazol-3-yl) methylene)-2-thioxoimidazolidin-4-one derivatives as a new class of AHR agonists with anti-psoriasis activity in a mouse model. Bioorg Med Chem Lett. 2023;92:129383. 10.1016/j.bmcl.2023.129383

20. Sui X, Sui Y, Wang Y. LARP7 in papillary thyroid carcinoma induces NIS expression through suppression of the SHH signaling pathway. Mol Med Rep. 2018;17(6):7521–8. 10.3892/mmr.2018.8856

21. Uchikawa E, Natchiar KS, Han X, Proux F, Roblin P, Zhang E, et al. Structural insight into the mechanism of stabilization of the 7SK small nuclear RNA by LARP7. Nucleic Acids Res. 2015;43(6):3373–88. 10.1093/nar/gkv173

22. Stein S, Lohmann C, Schafer N, Hofmann J, Rohrer L, Besler C, et al. SIRT1 decreases Lox-1-mediated foam cell formation in atherogenesis. Eur Heart J. 2010;31(18):2301–9. 10.1093/eurheartj/ehq107